Tuberculosis (TB) may not spread as easily as influenza or COVID-19, but prolonged close contact in crowded and poorly ventilated spaces can still allow the disease to circulate quietly in communities.
According to Dr Lo Shan Min Consultant Physician & Respiratory Medicine at Oriental Melaka Straits Medical Centre, TB spreads when someone with an active infection coughs, speaks, or sneezes.
“But transmission usually requires extended exposure in indoor spaces, not casual encounters. Recognising this difference is critical to preventing further spread,” he said.

The warning comes as Malaysia continues to see TB cases reported weekly. The Ministry of Health Malaysia reported 596 new TB cases nationwide up to Epidemiological Week 6 (EW 6/2026), bringing the year‑to‑date total to 3,161 cases. Sabah, Selangor and Sarawak recorded the highest numbers among all states.
According to the World Health Organization (WHO), Malaysia records about 122 TB cases per 100,000 people in 2023, with over 26,000 cases annually in recent years, highlighting its ongoing public health burden.
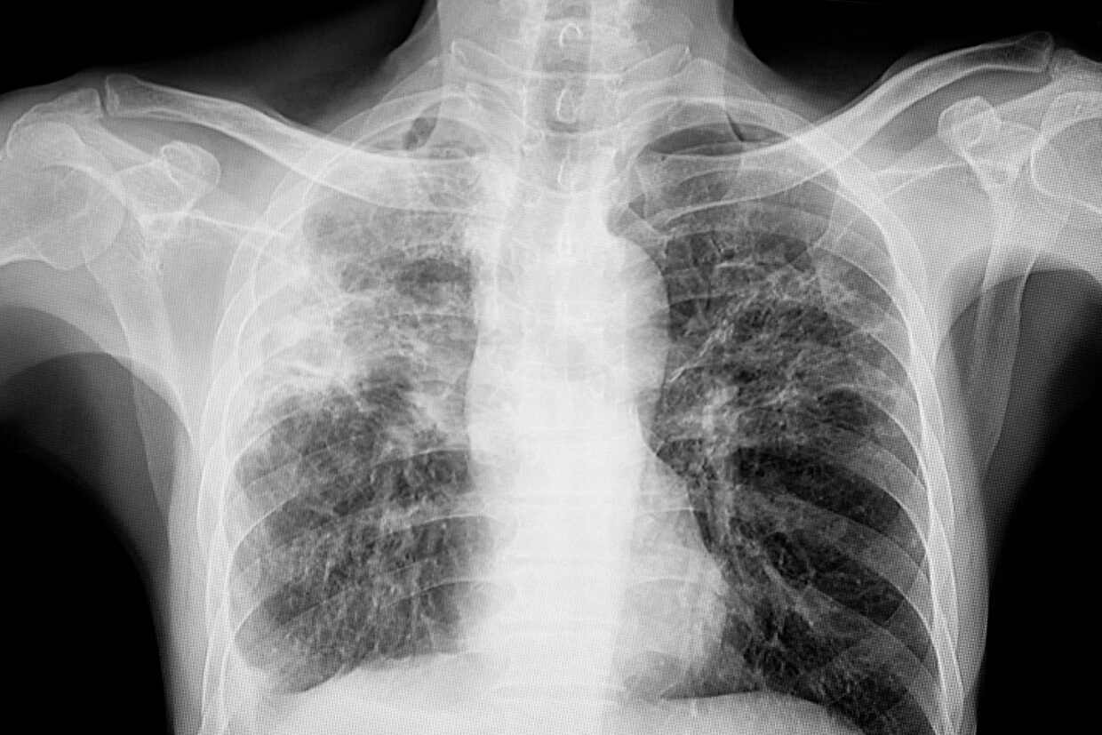
Early symptoms signal pulmonary TB risk
Dr Lo emphasised that one of the earliest and most common signs of active pulmonary TB is a persistent cough lasting more than two weeks. Other symptoms include night sweats, low-grade fever, fatigue, unintentional weight loss, and in more advanced cases, coughing up blood-stained sputum or chest pain.
“Symptoms can develop gradually, so some people delay seeking care, thinking it’s just a cold. But early detection is important, not only for successful treatment but also to reduce the risk of infecting others,” he elaborated. (CDC)

TB is less contagious than viral respiratory diseases, but prolonged exposure in dense indoor environments increases the risk of transmission. Dr Lo noted that households, workplaces, dormitories, prisons and crowded community events can facilitate transmission when someone with active TB is present.
The U.S. Centers for Disease Control and Prevention states that TB bacteria are transmitted via airborne particles, which linger longer in poorly ventilated areas, making prolonged exposure a key risk factor.
Improved detection drives reported case rise
While weekly case reports may appear alarming, the consultant added improved screening and diagnostics are partly responsible. Enhanced contact tracing, rapid molecular tests, and broader screening programmes have enabled healthcare providers to identify more infections earlier.
“Better detection is a positive development. It helps treat patients sooner and limits the window for further transmission,” he explained.
However, other factors such as urban crowding, population mobility, ageing populations, and comorbidities like diabetes may also contribute to the ongoing spread.

Despite the disease’s persistence, TB is highly treatable when diagnosed promptly. The WHO Malaysia data shows that drug-susceptible TB has an 85-90% treatment success rate when patients adhere to the standard six-month therapy.
Dr Lo also stressed that public awareness, early detection, and responsible behaviour are essential to controlling TB. Simple steps like seeking care for persistent symptoms, practising cough etiquette, and screening contacts can curb the spread.
With new cases reported every week, Malaysians are reminded that a lingering cough often dismissed as minor could be the first warning of TB circulating silently in their community.








Add comment